
Eksperten svarer: Smerter i stortåleddet - hva gjør jeg?
Jeg har i over fire år hatt vondt i grunnleddet i stortåa. Smertene forverres etter løping og enda mer etter skigåing. Det har vært en gradvis forverring, og nå er ikke løping noe gøy lenger. Hva kan jeg gjøre?
Artikkelen har stått på trykk i Ekspertpanelet i Kondis nr. 4 - 2020. Har du et spørsmål om trening, skader, kosthold eller noen annet kondisjonsrelatert, så kan du bare sende spørsmålet ditt til en av Kondis-ekspertene på e-post til Kondis.
Smerter i stortåleddet
Jeg har i over fire år hatt vondt i grunnleddet i stortåa. Smertene forverres etter løping og enda mer etter skigåing. Det har vært en gradvis forverring, og nå er ikke løping noe gøy lenger. Etter ei økt så kan det gå ett til to døgn med smerter og hevelse. Det er veldig lite bevegelse i leddet.
Jeg har forsøkt både injeksjon med steroid og hyaluronsyre i leddet. Dette lindret i en periode, men gav ikke noen varig effekt. Jeg tar av og til en kort kur med Voltaren da dette demper smertene.
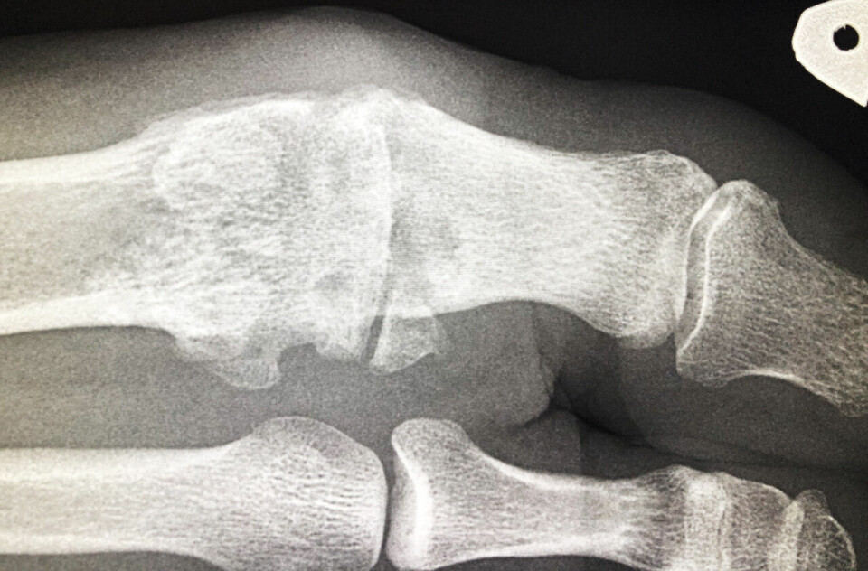
Jeg har nylig tatt røntgen av tåa, og leddet er nedslitt med mye forkalkninger. Fastlegen min anbefaler å stive av grunnleddet ved en operasjon, såkalt artrodese. Han mener at dette greit kan la seg kombinere med løping. Jeg er skeptisk og litt bekymret for ikke å kunne løpe mer. Jeg er i 40-årene og vil gjerne holde på med idrett en stund til.
Hva mener ekspertene om en slik operasjon i forhold til framtidig løping?
Med vennlig hilsen
Rolv-Jørgen Bredesen
Lege ved NIMI, Odd Arne Daljord, svarer

Grunnleddsproblemer er relativt vanlige hos løpere og kan oppstå tidlig som sent i aldersgruppene. Det er i utgangspunktet en predisponering hos de som er noe stive i grunnleddet i stortåen. Det kan være medfødt. De som er tverrplattfot, vil også ha en større tendens til å få slike plager fordi stortåen da presses mot tåen ved siden av og kan gradvis gi det som kalles hallux valgus.
Løpere og skigåere har en felles faktor som øker tendensen til plagene ved at frasparket øker bendingen i leddet. Oppoverbakke er verst. Det gir gnisning i brusken, og med tiden øker denne i volum. Leddet slites gradvis av bendingen og vil etter hvert gi synbare forandringer på oversiden av leddet. Det kjennes hvor bruskfortykkelsen sitter. Den gir mest utslag fra midten mot andre tå, og omtrent bare på oversiden, dels litt inn mot tå nummer to.
Forkalkning
I en del tilfeller der slitasjen har økt, kan det løsne biter som forkalkes. Det siste er godt synlig på et vanlig røntgenbilde. Brusken derimot vises ikke, da den ikke er røntgentett.
I en undersøkelse er det rimelig lett å få oversikten klinisk. Det gir smerter ved bøyning opp som ved å stå på tå, men også når stortåleddet presses ned. Det siste skyldes at leddkapselen presses mot leddet.
Det er stor variasjon i stivheten i leddet hos disse utøverne. Klassisk skigåing er om mulig verre enn løping. Skiskøyting er bedre enn klassisk gåing. Sykling lindrer, og tolereres bedre, fordi det ikke krever så mye bending i leddet.
I utredingen av slike tilfeller er røntgen viktig. MR har liten plass og gir dårlig oversikt over det som foreligger.
Behandling
Denne løperen har tydeligvis vært til utredning der det er påvist både stivhet, slitasje i leddet og løse fragmenter. Uten å ha sett bildene er det ikke mulig å si eksakt hva som bør gjøres teknisk i dette tilfellet, men forslaget om avstivning er antagelig det siste som er aktuelt som første behandling. Avstivning er en endelig behandling dersom alt annet svikter og det er mye plager. Selv da ville det antagelig være et bedre forslag å skifte aktivitetsform enn å avstive.
Behandlingen her tyder på at det likevel må kirurgi til for å komme videre. Det er ikke slik at kirurgi nullstiller tilstanden, men den kan bedre mulighetene for mange år framover. Det er viktig å huske på at slitasje kan utvikles videre hvis aktiviteten er stor, som i løping og skigåing.
Teknisk sett er ikke en operasjon noe stort problem. Det trengs ikke innleggelse. Hvis løse biter er hovedårsaken til plagene, er prognosen bra. Jeg har faktisk sett bra resultater selv på aktive over 70 år med røntgenbilder av betydelig slitasje. Stivheten i leddet, hvis den har kommet, er det som oftest vanskelig å gjøre noe med. Den kan påvirkes noe, men man bør ikke forvente at det gir store utslag. Det skyldes tilstivning rundt hele leddet. Men det er ikke avgjørende for resultatet.
Meisling av brusk vil være nødvendig hos en del løpere. Det er en vurdering som gjøres under selve inngrepet.
De fleste kan forvente å være på bena til vanlig gange i løpet av noen dager. Noen kan også starte sykkeltrening etter et par uker, mens løping og spesielt det å løpe oppover vil ta noen uker. Noe må tilpasses individuelt. Det hele er en symptomatisk tilpasning. Det vil si at man må rette seg etter om aktiviteten er vond eller ikke.
Avstivning av leddet vil reduserer løpsmulighetene vesentlig. Da ender man for det meste opp med å skifte til annen aktivitet. Der er sykling antagelig mest aktuelt.
Spør Kondis-ekspertene
Mange går rundt med spørsmål om trening, kosthold og skader enten de driver på med løping, langrenn, sykling eller multisport. Nå kan du få svar på det du lurer på ved å sende inn dine spørsmål til Kondis’ ekspertpanel.
Spør ekspertene ved å sende ditt spørsmål til Kondis.
Takk for at du er medlem og slik bidrar til at Kondis kan fortsette å spre treningsglede, skrive reportasjer, lage terminlister, kontrollmåle løyper, føre statistikker osv. På grunn av koronakrisen har store deler av annonseinntektene falt bort, og vil du gi oss et ekstrabidrag, vil vi være takknemlige for det.
Gi en gave:
Vårt kontonummer er: 1503.35.18541
Vipps: 125957